Skip to content
Bệnh viện Đa khoa Huyện Vũ ThưBệnh viện Đa khoa Huyện Vũ Thư
  • Trang chủ
  • Giới thiệu
  • Tin tức
  • Kiến thức y khoa
  • Dịch vụ y tế
  • Quản lý chất lượng
  • Văn bản
  • Liên hệ
  • Nhân đạo từ thiện
Phát động ủng hộ Quỹ phòng, chống dịch bệnh Covid-19

Hưởng ứng Thư kêu gọi ủng hộ phòng chống dịch bệnh Covid -19 của Mặt [...]

09
Th6
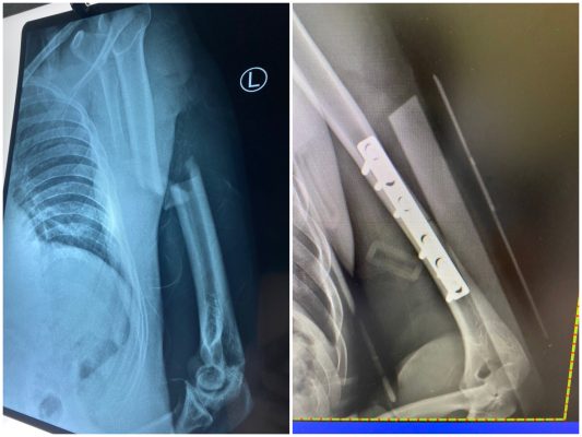
Phẫu thuật kết hợp xương cánh tay

Gãy xương cánh tay là một chấn thương phổ biến xảy ra ở cả trẻ [...]

08
Th6
Hướng dẫn cài đặt và sử dụng ứng dụng VssID

[...]

06
Th6
Lấy mẫu xét nghiệm Covid-19 lần 3 cho cán bộ, viên chức, người lao động, người bệnh, người nhà người bệnh

Chiều ngày 04/6/2021, Bệnh viện Đa khoa huyện Vũ Thư phối hợp với Trung tâm [...]

04
Th6
Ung thư tuyến mồ hôi – hiếm nhưng nguy hiểm

Ung thư tuyến mồ hôi là bệnh hiếm gặp, chiếm tỷ lệ không cao trong [...]

02
Th6
Tặng quà cho bệnh nhi đang điều trị tại Bệnh viện nhân ngày Quốc tế Thiếu nhi 1/6

Nhân tháng hành động vì trẻ em năm 2021, sáng nay (1/6), tổ Công tác [...]

01
Th6
Thông điệp truyền thông Ngày Vi chất dinh dưỡng (1-2/6/2021)

Vi chất dinh dưỡng rất cần thiết cho quá trình phát triển, tăng trưởng về [...]

01
Th6
Nhà phân phối Thìn Hương tặng 5000 khẩu trang y tế

Tiếp tục đồng hành cùng các cán bộ, nhân viên y tế Bệnh viện Đa [...]

31
Th5
Bệnh viện Đa khoa huyện Vũ Thư hưởng ứng Ngày Thế giới không thuốc lá 31/5

Nhằm giảm tỷ lệ hút thuốc lá, giảm gánh nặng bệnh tật và tử vong [...]

31
Th5
Huyện đoàn Vũ Thư tặng mặt nạ chống giọt bắn, khẩu trang, dung dịch sát khuẩn tay, nước uống cho công tác phòng chống dịch bệnh Covid-19 tại Bệnh viện

Ngày 30/5/2021, Đ/c Lại Trường Sơn – Phó bí thư Thường trực Huyện ủy; Đ/c [...]

30
Th5
  • 1
  • …
  • 83
  • 84
  • 85
  • 86
  • 87
  • 88
  • 89
  • …
  • 93
LIÊN KẾT WEBSITE

Liên kết hữu ích

  BỘ Y TẾ
  BHXH VIỆT NAM
  CỤC QUẢN LÝ KCB
  UBND TỈNH THÁI BÌNH
  SỞ Y TẾ THÁI BÌNH
  TRA CỨU  ICD 10
  TRA CỨU THUỐC VÀ BIỆT DƯỢC

Bệnh viện Đa khoa Huyện Vũ Thư
Địa chỉ: Thị trấn Vũ Thư, Huyện Vũ Thư, Tỉnh Thái Bình
Hotline: 0227.3826.306

Các khoa khám chữa bệnh

▪️ Khoa CC-HSCTC-CĐ
▪️ Khoa Nội
▪️ Khoa Ngoại-3CK
▪️ Khoa Sản
▪️ Khoa Nhi
▪️ Khoa YHCT-PHCN
▪️ Khoa Y học nhiệt đới
▪️ Khoa khám bệnh
▪️ Khoa Cận lâm sàng
▪️ Khoa Dược
▪️ Khoa Kiểm soát nhiễm khuẩn
▪️ Phòng kế hoạch tổng hợp
▪️ Phòng điều dưỡng
▪️ Phòng hành chính tổ chức
▪️ Phòng kế toán tài vụ

 

Dịch vụ

▪️ Hồi sức cấp cứu
▪️ Nội khoa
▪️ Nhi khoa
▪️ Sản phụ khoa
▪️ Y học cổ truyền
▪️ Phục hồi chức năng
▪️ Điện quang
▪️ Thăm dò chức năng
▪️ Nội soi chẩn đoán, can thiệp
▪️ Ngoại khoa
▪️ Bỏng
▪️ Chuyên khoa Mắt
▪️ Chuyên Khoa TMH
▪️ Chuyên khoa RHM
▪️ Huyết học truyền máu
▪️ Hóa sinh
▪️ Vi sinh

 

Liên kết hữu ích

BỘ Y TẾ
BHXH VIỆT NAM
CỤC QUẢN LÝ KCB
  UBND TỈNH THÁI BÌNH
SỞ Y TẾ THÁI BÌNH
TRA CỨU ICD 10
 TRA CỨU THUỐC VÀ BIỆT DƯỢC

MIỄN TRỪ TRÁCH NHIỆM PHÁP LÝ: Thông tin trên website này chỉ mang tính chất tham khảo; không được xem là tư vấn y khoa và không nhằm mục đích thay thế cho tư vấn, chẩn đoán hoặc điều trị từ nhân viên y tế. Khi có vấn đề về sức khỏe hoặc hỗ trợ cấp cứu, người đọc cần liên hệ cơ sở y tế gần nhất.

Copyright 2026 © Bản quyền thuộc Bệnh viện Đa khoa Huyện Vũ Thư thiết kế bởi DIGIMEDICAL

  • Trang chủ
  • Giới thiệu
  • Tin tức
  • Kiến thức y khoa
  • Dịch vụ y tế
  • Quản lý chất lượng
  • Văn bản
  • Liên hệ
  • Nhân đạo từ thiện

Login

Lost your password?